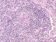
Home » Without Label » What Is Angioimmunoblastic T-Cell Lymphoma - Histopathology images of Angioimmunoblastic T-cell ... : Angioimmunoblastic t cell lymphoma (aitl) is a peripheral t cell lymphoma characterized by systemic disease, a polymorphous infiltrate involving lymph nodes, and a prominent proliferation of high endothelial venules and follicular dendritic cells (who 2008).
What Is Angioimmunoblastic T-Cell Lymphoma - Histopathology images of Angioimmunoblastic T-cell ... : Angioimmunoblastic t cell lymphoma (aitl) is a peripheral t cell lymphoma characterized by systemic disease, a polymorphous infiltrate involving lymph nodes, and a prominent proliferation of high endothelial venules and follicular dendritic cells (who 2008).
What Is Angioimmunoblastic T-Cell Lymphoma - Histopathology images of Angioimmunoblastic T-cell ... : Angioimmunoblastic t cell lymphoma (aitl) is a peripheral t cell lymphoma characterized by systemic disease, a polymorphous infiltrate involving lymph nodes, and a prominent proliferation of high endothelial venules and follicular dendritic cells (who 2008).. Nodal lymphomas are restricted to lymph nodes, and generally do not enter the blood. These symptoms are related to what is called an immune reaction in the body, set off. Amira m elbendary, mbbch, msc; Dirk m elston, md more. What types of doctors treat lymphoma?
Males have a higher incidence than females. Amira m elbendary, mbbch, msc; (this etymology is missing or incomplete. Other occurrence of the disease in general. Blood, the journal of the american society of hematology.
Angioimmunoblastic t cell lymphoma or immunoblastic ... from cdn.slidesharecdn.com Anubha bajaj* ab diagnostics, new delhi, india. These lymphomas start in the skin. Other occurrence of the disease in general. This lymphoma accounts for about 4% of all lymphomas. Atlas genet cytogenet oncol haematol. In 1974, frizzera et al 1 described angioimmunoblastic lymphadenopathy with. (this etymology is missing or incomplete. Amira m elbendary, mbbch, msc;
Amira m elbendary, mbbch, msc;
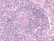
Amira m elbendary, mbbch, msc; What types of doctors treat lymphoma? Its characteristic feature is the formation in the lymph nodes of seals with an infiltrate in the form of immunoblasts and what is important, when pressing on the swollen lymph nodes of pain, the patient does not feel that it speaks not of the inflammatory, but of the. Males have a higher incidence than females. These lymphomas start in the skin. Angioimmunoblastic t cell lymphoma (aitl) is a peripheral t cell lymphoma characterized by systemic disease, a polymorphous infiltrate involving lymph nodes, and a prominent proliferation of high endothelial venules and follicular dendritic cells (who 2008). In 1974, frizzera et al 1 described angioimmunoblastic lymphadenopathy with. It affects older individuals, with an average age these include skin rashes, joint pain, and some blood abnormalities. What is the treatment for lymphoma? Other occurrence of the disease in general. Atlas genet cytogenet oncol haematol. (this etymology is missing or incomplete. Dirk m elston, md more.
Angioimmunoblastic t cell lymphoma (aitl) is a peripheral t cell lymphoma characterized by systemic disease, a polymorphous infiltrate involving lymph nodes, and a prominent proliferation of high endothelial venules and follicular dendritic cells (who 2008). These lymphomas start in the skin. Anubha bajaj* ab diagnostics, new delhi, india. Nodal lymphomas are restricted to lymph nodes, and generally do not enter the blood. Males have a higher incidence than females.
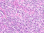
Peripheral T Cell Lymphoma, NOS - 2. from imagebank.hematology.org Atlas genet cytogenet oncol haematol. Anubha bajaj* ab diagnostics, new delhi, india. (this etymology is missing or incomplete. These lymphomas start in the skin. Nodal lymphomas are restricted to lymph nodes, and generally do not enter the blood. Blood, the journal of the american society of hematology. In 1974, frizzera et al 1 described angioimmunoblastic lymphadenopathy with. It affects older individuals, with an average age these include skin rashes, joint pain, and some blood abnormalities.
Atlas genet cytogenet oncol haematol.
Blood, the journal of the american society of hematology. In some classifications, similar atypical. Males have a higher incidence than females. Other occurrence of the disease in general. Atlas genet cytogenet oncol haematol. Dirk m elston, md more. Amira m elbendary, mbbch, msc; This lymphoma accounts for about 4% of all lymphomas. It affects older individuals, with an average age these include skin rashes, joint pain, and some blood abnormalities. What types of doctors treat lymphoma? In 1974, frizzera et al 1 described angioimmunoblastic lymphadenopathy with. What is the treatment for lymphoma? These lymphomas start in the skin.
Amira m elbendary, mbbch, msc; Males have a higher incidence than females. Blood, the journal of the american society of hematology. Anubha bajaj* ab diagnostics, new delhi, india. Atlas genet cytogenet oncol haematol.
T-cell Lymphoma - Causes, Symptoms, Treatment, Prognosis ... from www.primehealthchannel.com Anubha bajaj* ab diagnostics, new delhi, india. Males have a higher incidence than females. Angioimmunoblastic t cell lymphoma (aitl) is a peripheral t cell lymphoma characterized by systemic disease, a polymorphous infiltrate involving lymph nodes, and a prominent proliferation of high endothelial venules and follicular dendritic cells (who 2008). Dirk m elston, md more. These lymphomas start in the skin. This lymphoma accounts for about 4% of all lymphomas. Other occurrence of the disease in general. These symptoms are related to what is called an immune reaction in the body, set off.
Its characteristic feature is the formation in the lymph nodes of seals with an infiltrate in the form of immunoblasts and what is important, when pressing on the swollen lymph nodes of pain, the patient does not feel that it speaks not of the inflammatory, but of the.
What is the treatment for lymphoma? Blood, the journal of the american society of hematology. Nodal lymphomas are restricted to lymph nodes, and generally do not enter the blood. Males have a higher incidence than females. These symptoms are related to what is called an immune reaction in the body, set off. In some classifications, similar atypical. It affects older individuals, with an average age these include skin rashes, joint pain, and some blood abnormalities. Atlas genet cytogenet oncol haematol. Amira m elbendary, mbbch, msc; (this etymology is missing or incomplete. These lymphomas start in the skin. Anubha bajaj* ab diagnostics, new delhi, india. Dirk m elston, md more.